我们会尽快处理。
合肥瑶海松丰口腔门诊部是看牙的正规之选,隶属于上海松丰口腔,经卫生局批准成立。诊疗项目丰富,涵盖种植牙、牙齿矫正等。它位于瑶海区胜利路元一时代广场,周一至周日 09:00 - 18:00 营业。规模较大,有 8 个诊室等,员工 600 多人,医生团队专精。还提供免费 WIFI、茶水等贴心服务,有付费停车场。乘坐地铁 1 号线在长淮站 C1 口出站,步行 60 米即到;公交出行也有多种选择,能方便快捷地解决市民口腔问题。

合肥松丰齿科是正规之选
合肥瑶海松丰口腔门诊部是众多市民看牙时值得信赖的理想选择。它隶属于上海松丰口腔门诊部,并且是经过瑶海区卫生局批准成立的正规口腔机构,其资质登记号为 MA8N0TQ0734010217D1522 ,在正规性和专精性上有充分的保护。

诊疗项目丰富多样
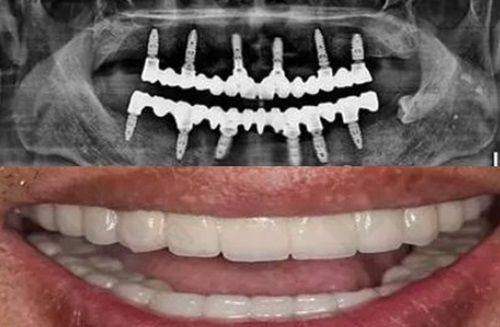
合肥瑶海松丰口腔门诊部提供的口腔诊疗服务十分全方面。种植牙领域,能满足单颗种植、多颗种植、半口种植、全口种植等不同需求;牙齿矫正方面,无论是牙列拥挤、牙列稀疏,还是龅牙、地包天等问题,都有专精的解决方案,包括儿童早期矫正检查、成人/青少年隐形矫正、自锁托槽矫正等。
此外,牙齿美白、补牙、儿童牙科、牙周治疗、牙齿修复等项目也一应俱全。像洗牙、洁牙、牙齿美容、根管治疗、拔牙等常见牙齿诊疗项目,在这里都能得到专精的处理。

地理位置与营业时间便利
门诊部位于安徽合肥市瑶海区胜利路 88 号元一时代广场,具体是瑶海区胜利路元一时代广场商铺二单元 F2B37、38、39 房。这样的地理位置交通较为便利,方便市民前来就诊。
其营业时间为周一至周日的 09:00 - 18:00,这意味着市民无论是工作日还是休息日,都可以根据自己的时间安排来这里看牙,不用担心时间上的冲突。

规模与团队实力雄厚
该门诊部开业于 2011 年,医院面积达 800 平方米,拥有 8 个诊室、8 张牙椅以及 1 个儿童诊室。松丰口腔在多地开设了连锁机构,上海有 6 家,苏州有 2 家,合肥这家 800 多平的口腔门诊也颇具规模,并且还新筹建了 1 家大型二级口腔医院,现有员工 600 多人。
门诊部拥有一支专精的医生团队。蒋勇军作为松丰口腔种植院长,擅长 3D 数字化种植牙、即刻种植牙、牙槽骨缺损、骨增量技术、半口/全口种植牙、无牙颌种植牙、微创种植牙等,能为患者提供多种种植方案。王志勇擅长牙列拥挤、牙列稀疏、龅牙、地包天等各类错颌畸形的综合性正畸治疗。
张栋栋专注于牙齿修复、树脂美学修复、根管治疗等。孙慧主要负责牙龈炎、缺牙、龋病等常见口腔问题的诊疗。张锴擅长微创拔牙、美学修复等项目,为患者的口腔健康提供全方面的保护。

贴心设施服务周到
门诊部为患者提供了贴心的设施服务。这里有免费 WIFI,让患者在等待就诊的过程中可以随时上网,打发时间。还提供免费茶水,让患者感受到温暖和关怀。
同时,配备了充电宝、充电线,方便患者在手机电量不足时充电。支持刷卡消费,为患者的缴费提供了便利。并且设有付费停车场,解决了患者停车难的问题。

地铁前往便捷效率高
如果您选择乘坐地铁前往合肥瑶海松丰口腔门诊部,可选择地铁 1 号线,在长淮站 C1 口出站,出站后仅需步行 60 米即可到达门诊部,这种方式既便捷又效率高,能为您节省不少时间和精力。

公交出行也有多种选择
除了地铁出行,还有其他公交出行方式可供选择。您可以乘坐 11 路、21 路西线、22 路、401 路到长淮西站下车,然后步行 150 米即可到达。也可以乘坐 1 路、11 路、39 路、67 路、85 路、226 路、T50 路到元一时代广场站下车,接着步行 180 米就能到达门诊部。
合肥瑶海松丰口腔门诊部凭借其专精的医疗团队、齐全的诊疗项目、完善的设施服务,为市民的口腔健康保驾护航。无论您选择哪种交通方式前往,都能方便快捷地到达,解决您的口腔问题。

热门搜索
