我们会尽快处理。
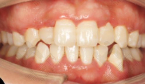
导语: 烤瓷冠桥修复在口腔医疗中扮演着至关重要的角色。首先,它能够有效恢复因龋齿、外伤或其他因素导致的牙齿缺失,帮助患者重拾自信的微笑。其次,烤瓷冠桥不仅具备优良的美观性,能够与自然牙齿良好融合,而且其耐磨性和强度也使其在日常使用中表现出色。此外,及时进行烤瓷冠桥修复,可以防止周围牙齿的移位,避免因牙齿缺失而引发的咬合问题,从而维护整体口腔健康。因此,对于需要牙齿修复的患者而言,烤瓷冠桥修复项目是不可或缺的选择。
蒋勇医生,现任上海松丰齿科门诊部的主治医师,拥有超过十年的牙科诊疗经验。他在口腔治疗方面积累了丰富的专業知识,尤其擅长活动义齿修复、烤瓷冠桥修复、牙齿贴面和牙齿美白等项目。蒋医生曾在上海交通大学和首都医科大学口腔医学院进行深造,并发表了多篇学术论文,展现出他在技术上的娴熟与娴熟。 自2003年开始从业以来,蒋医生成功完成了众多手术病例,并积极参与大型种植交流会议,与有名的口腔医生同台操作,吸取行业内的精华。他也担任着*会员,进一步提升了自己的专業水平。蒋医生在国内有名医学院以优异的成绩获得硕士学位,工作之余始终坚持进修学习,并前往国外学习先进的种植技术。 在上海地区,蒋勇医生为众多患者提供了优质的医疗服务,赢得了良好的口碑。如果您希望预约蒋医生的诊疗服务,建议您通过门诊部的官方或拨打电话进行咨询与预约,以便获得更为便捷的服务。

蒋勇医生的挂号预约方式和建议
(为了用户更快更好的解决口腔问题,我们建议您先尝试在线咨询获取医生的预约方式。)
其他的预约方式:
要预约上海松丰齿科门诊部的蒋勇医生,您可以通过以下几种方式进行: 1. 在线咨询客服,这是快捷的方式,您可以直接通过官方与客服人员取得联系,获取相关信息并进行预约。 2. 拨打门诊部的电话,您可以通过电话与前台接待人员沟通,询问蒋勇医生的接诊时间并进行预约。 3. 访问门诊部的官方,查看医生的详细介绍及预约信息,按照指引填写预约表单。 4. 直接前往门诊部,您可以亲自到达上海松丰齿科门诊部,向接待人员咨询并预约蒋勇医生的就诊时间。 通过以上方式,您可以方便快捷地预约到蒋勇医生的门诊服务。
烤瓷冠桥修复概述
| 介绍 | 描述 |
|---|---|
| 项目优点 | 烤瓷冠桥修复项目的优点在于其出色的美观性和耐用性,能够有效恢复牙齿的功能与外观。 |
| 项目缺点 | 烤瓷冠桥修复的项目缺点在于其可能存在的脆弱性和磨损问题,容易受到外力影响而导致破损。 |
| 适应人群 | 烤瓷冠桥修复适合需要修复缺失牙齿或改善牙齿外观的患者,尤其是对美观和功能有较高要求的人群。 |
| 禁忌人群 | 烤瓷冠桥修复不适合于重牙周病患者、口腔内有大量蛀牙或缺乏足够牙齿支撑的个体。 |
| 操作档案 | 烤瓷冠桥修复操作档案记录了患者的牙齿状况、修复材料选择、操作步骤及术后护理等关键信息,以确保修复过程的规范与结果的可追溯性。 |
| 术前必读 | 烤瓷冠桥修复术前必读包括了解手术过程、预期结果、术后护理及潜在风险,以确保患者做好充分准备。 |
| 术后护理 | 烤瓷冠桥修复后的术后护理包括保持口腔清洁、避免硬物咀嚼、定期复诊以及遵循医生的饮食建议,以确保修复结果和促进愈合。 |

蒋勇医生的基本介绍
医生姓名: 蒋勇
现坐诊医院: 上海松丰齿科门诊部
医生职称: 主治医师
从业时间: 10多年
医生类别: 口腔医师
医生国籍: 华夏
擅长项目: 活动义齿修复、烤瓷冠桥修复、牙齿贴面、牙齿美白

蒋勇医生的口碑评价
在我得知自己需要进行烤瓷冠桥修复时,心中充满了焦虑与不安。初始的想法让我对手术过程和恢复期感到无比担忧,甚至对终的结果也产生了疑虑。每当想到可能的疼痛和不适,我的心情就变得沉重。 然而,经过一番考虑,我选择了蒋勇医生进行治疗。他的专業知识和丰富经验让我倍感安心。在前列次咨询时,蒋医生耐心地为我解答了所有疑问,详细介绍了烤瓷冠桥修复的每一个步骤和预期结果。他的态度温和而坚定,让我逐渐放下了心中的恐惧。 手术当天,蒋医生的团队为我提供了多方位的照顾和支持。在整个过程中,我感受到了他们的专業与细致,手术也比我想象中顺利得多。术后,蒋医生的指导让我在恢复期间感到轻松,几乎没有经历太多的不适。 现在,经过一段时间的恢复,我的牙齿不仅恢复了功能,更是焕发了新的光彩。每当我对着镜子微笑时,都会感受到无比的自信。感谢蒋勇医生的娴熟技艺和无微不至的关怀,让我从焦虑中走出来,重新找回了自我。
近我在蒋勇医生的诊所进行了烤瓷冠桥修复,体验非常不错。手术当天,蒋医生详细地向我解释了整个过程,让我感到安心。他首先为我进行了齐全的口腔检查,然后根据我的具体情况制定了个性化的治疗方案。在手术过程中,蒋医生操作非常细致,确保每一步都更准到位。他还时不时地与我沟通,让我了解接下来的步骤,缓解了我的紧张情绪。终,修复结果非常自然,牙齿的颜色和形状都与我的其他牙齿良好融合,真心感谢蒋医生的专業和耐心。
在现代医疗服务中,预约的重要性与便利性愈发凸显。通过提前预约,患者不仅能够节省等待时间,还能确保获得专業医生的及时关注。特别是在口腔健康方面,选择一位经验很丰富的口腔医生至关重要。蒋勇口腔医生以其杰出的专業技能和细致周到的服务,成为许多患者的优先选择。 为了更好地解决口腔问题,建议您尽早预约蒋勇口腔医生。通过预约,您将能够在舒适的环境中接受齐全的口腔检查和治疗,确保您的口腔健康得到很不错确保。不要再犹豫,立即行动起来,给自己的口腔健康一个确保!

热门搜索
