我们会尽快处理。
牙齿问题困扰着特别多人,牙疼、牙齿不美观等状况不仅影响生活质量,还可能带来心理负担。钦州市第二人民医院口腔科凭借其专精的医疗团队、精良的技术和合理透明的收费,为患者提供了可靠的解决方案。接下来,我们详细了解一下该医院口腔科的相关情况。

医院实力奠定治疗基础
钦州市第二人民医院历史悠久,是集医疗、教学、科研于一体的三等级甲等综合性国有医疗保险定点医院。这样的医院背景为口腔科的发展提供了坚实的基础,无论是在医疗设备的引进,还是专精人才的培养上,都有着得天独厚的优势。患者在这里可以享受到高品质、有保护的口腔医疗服务。

诊断预防保护口腔健康
口腔疾病的预防和早期诊断至关重要。在钦州市第二人民医院口腔科,诊断与预防类项目丰富多样。拍牙片是常见的检查方式,普通小牙片可用于检查局部几颗牙,费用在20 - 50元;全口曲面平展片能进行全牙列检查,价格在100 - 150元;三维口腔CT则是种植或矫正前的必备检查,收费200 - 300元。洗牙与牙周治疗也特别关键,超声波洁牙作为基础清洁,39.9元起;喷砂洁牙可去除色素,150 - 200元起;牙周刮治针对牙龈问题,300元起/区域。这些项目能帮助患者及时发现口腔问题,预防疾病的进一步发展。

基础治疗解决常见问题
补牙和根管治疗是口腔科常见的基础治疗项目。对于补牙,普通树脂材料230元起/颗,3M纳米树脂耐磨性更好,300元起/颗。根管治疗方面,前牙(单根管)560元起/颗,后牙(多根管)800 - 1500元起/颗,复杂病例显微治疗2000元起。这些治疗项目可以有效解决牙齿龋坏、疼痛等问题,修复牙齿的正常功能。

修复假牙修复牙齿功能
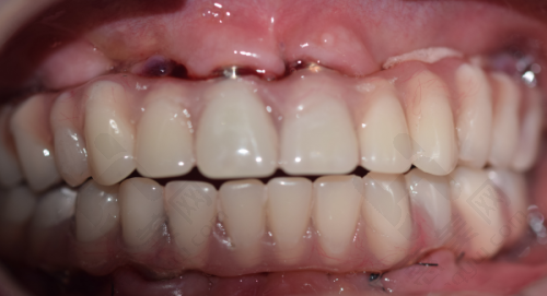
当牙齿缺失或损坏重度时,修复与假牙类项目就发挥了重要作用。牙冠修复有多种选择,国产全瓷牙如爱尔创适合后牙,1800元起/颗;进口品牌如威兰德或泽康,前牙美观性好,3200 - 3500元起/颗;高端进口的瑞士拉瓦则需5000元起/颗。活动假牙也有不同类型,树脂义齿属于经济型,3800元起;纯钛义齿轻便耐用,5000元起;吸附性义齿适合牙槽骨萎缩患者,20000元起。这些修复方式能帮助患者修复牙齿的咀嚼功能和美观度。

高端美容满足多样需求
对于追求更高口腔品质的患者,该医院的高端与美容类项目能满足需求。种植牙有多个品牌可供选择,韩国登腾性价比高,4500元起/颗;瑞士ITI适合骨质疏松患者,10000元起/颗;瑞典诺贝尔是高端品牌,12000元起/颗。还有基础种植体6012元/颗起,适合咀嚼不强人士;缺骨量患者需进行含骨粉骨膜植入,费用在2173 - 5630元/次;生态种植牙速式技术当日植入 + 修复,适合追求效率高率人群,预估8000 - 14000元/颗。牙齿矫正方式也多种多样,价格从约8874元起,涵盖了传统金属托槽矫正、隐形矫正等多种类型。冷光美白约2890元起,烤瓷牙修复约2914元起,这些项目能让患者拥有更美观、健康的牙齿。

拔牙项目应对特殊情况
拔牙是口腔科常见的操作,钦州市第二人民医院口腔科针对不同类型的牙齿拔除制定了合理的收费标准。普通智齿拔除350元起/颗,上颌正位智齿拔除380元起/颗,下颌正位智齿拔除450元起/颗等。无论是智齿、残牙根,还是儿童乳牙滞留等情况,都能得到妥善处理。拔牙后缝合费用在50 - 150元。

其他项目完善口腔服务
除了上述项目,该医院口腔科还有一些其他项目。常规口腔检查50 - 100元,牙髓活力测试20 - 40元,口腔多方面检查30 - 50元。牙周基础治疗300 - 600元,嵌体修复(树脂)500 - 800元/颗,嵌体修复(陶瓷)800 - 1500元/颗。正畸保持器(传统)300 - 600元,正畸保持器(隐形)800 - 1500元。美白牙贴(院内售)200 - 500元/盒,激光美白1500 - 3000元/次。活动义齿(局部)1000 - 3000元,活动义齿(全口)3000 - 8000元。固定桥修复(烤瓷)2000 - 4000元/单位,固定桥修复(全瓷)3000 - 6000元/单位。牙冠延长术500 - 1000元/颗,牙龈切除术300 - 800元/颗。
需要注意的是,以上价格仅供参考,具体费用需医生评估患者牙齿状况后确定。患者若想了解更多详细信息,可通过医院的在线查询系统询问,或直接到院面诊。

热门搜索
