
在众多口腔医院中,义乌德维口腔凭借其独特的优势、特色项目以及良好的口碑,成为了许多人看牙的优选之地。接下来,让我们深入了解一下这家备受瞩目的口腔医院。

义乌德维口腔的优势
义乌德维口腔较大的优势之一便是其贴心的服务。在这家医院,从患者踏入大门的那一刻起,就能感受到工作人员的热情与关怀。前台工作人员会微笑着迎接每一位患者,耐心地询问患者的需求,并快速为其安排就诊流程。在就诊过程中,医生和护士们会详细地了解患者的口腔状况,用通俗易懂的语言向患者解释病情和治疗方案,让患者充分了解自己的口腔问题以及解决办法。
例如,对于一些对看牙存在恐惧心理的患者,医生会耐心地安抚他们的情绪,告知他们治疗过程中的注意事项,让患者在放松的状态下接受治疗。而且,医院还会为患者建立详细的口腔健康档案,定期进行回访,提醒患者进行口腔检查和维护,这种全方面的服务让患者感受到了家一般的温暖。
除了贴心的服务,义乌德维口腔的环境也十分优雅。医院的装修风格简洁大方,采用了柔和的灯光和温馨的色彩搭配,营造出了一种舒适、放松的氛围。候诊区摆放着舒适的沙发和茶几,还提供免费的茶水和杂志,让患者在等待的过程中不会感到无聊和焦虑。
诊疗区域则干净整洁,设备精良且摆放有序。每一个诊疗室都进行了严格的消毒处理,确保患者的安心和卫生。此外,医院还注重隐私保护,每个诊疗室都配备了独立的空间,让患者在治疗过程中能够享受到私密的环境。这种优雅的环境不仅满足了患者对舒适就医的需求,更体现了医院对高端需求的专属服务。

义乌德维口腔的特色项目
义乌德维口腔的特色项目之一是德国威兰德全瓷冠。这种全瓷冠具有透光度媲美真牙的特点,能够为患者提供自然、美观的牙齿修复成效。德国威兰德全瓷冠采用了精良的陶瓷材料,其硬度和耐磨性都非常高,能够确保牙齿修复后的使用寿命。
在制作过程中,医生会根据患者的牙齿形态和颜色进行个性化定制,确保全瓷冠与患者的原有牙齿理想匹配。而且,这种全瓷冠不含有金属成分,不会对牙龈造成刺激,减少了牙龈发炎、变色等问题的发生。对于那些对牙齿美观有较高要求的患者来说,德国威兰德全瓷冠无疑是一个理想的选择。
其价格为3000元/颗,虽然相比一些普通的牙齿修复材料价格略高,但考虑到其良好的性能和美观成效,这个价格还是非常值得的。许多患者在安装了德国威兰德全瓷冠后,都对修复成效非常满意,认为自己的牙齿变得更加美观和自信了。
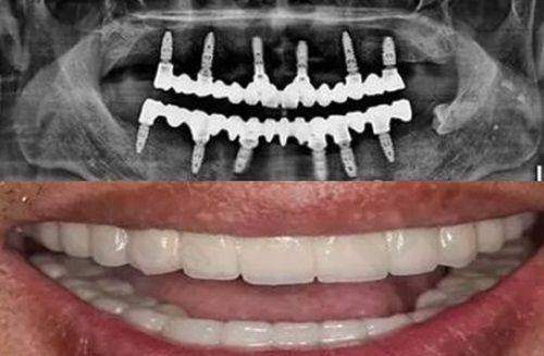
另一个特色项目是即刻微创种植。传统的牙齿种植需要先拔牙,等待伤口愈合后再进行种植手术,这不仅增加了患者的痛苦,还延长了治疗周期。而义乌德维口腔的即刻微创种植技术则实现了即拔即种,大大减少了患者的痛苦。
在拔牙的同时,医生会立即将种植体植入牙槽骨内,避免了二次手术的麻烦。这种技术采用了微创的方式,手术创口小,出血少,术后修复快。患者在手术后当天就可以正常饮食和生活,不会对日常生活造成太大的影响。
即刻微创种植的价格为3580元/颗,性价比非常高。对于那些牙齿缺失的患者来说,这种技术为他们提供了一种更加便捷、效率高的牙齿修复方案。许多患者在接受了即刻微创种植手术后,都表示手术过程轻松,修复成效良好,对医院的技术和服务赞不绝口。

义乌德维口腔的口碑
义乌德维口腔的良好口碑在当地广为流传。有患者评价说:“拔牙送冰袋和止痛药,细节感动到哭”。这看似小小的举动,却体现了医院对患者的关怀和用心。在拔牙手术后,患者可能会出现疼痛和肿胀的情况,冰袋和止痛药能够有效地缓解这些不适症状,让患者感受到医院的贴心关怀。
除了这个细节之外,许多患者还对医院的医生技术和服务态度给予了高度评价。有一位患者在网上分享了自己的看牙经历:“我之前在其他医院看牙,总是感觉医生特别不耐烦,对我的问题也解答得不清楚。但是在义乌德维口腔,医生非常耐心地为我检查牙齿,详细地解释了我的病情和治疗方案。在治疗过程中,医生的技术也非常不错,让我没有感觉到太多的痛苦。而且,医院的护士们也特别热情,总是关心我的感受。我以后看牙就认准这家医院了。”
还有患者表示,义乌德维口腔的收费合理透明,不会出现乱收费的情况。医院会在治疗前向患者详细说明各项费用,让患者清楚自己的消费情况。这种诚信经营的理念也赢得了患者的信任和好评。

实例分享
下面为大家分享几个义乌德维口腔的成功实例。李先生是一位中年男性,由于长期吸烟和不注意口腔卫生,他的牙齿出现了重度的问题,多颗牙齿松动、脱落。他之前在其他医院询问过牙齿种植的问题,但由于害怕手术痛苦和担心成效不好,一直没有下定决心。
后来,他经朋友介绍来到了义乌德维口腔。医生为他进行了详细的口腔检查后,建议他采用即刻微创种植技术。在医生的耐心解释和安抚下,李先生终于放下了心中的顾虑,接受了手术。手术过程非常顺利,李先生没有感觉到太多的痛苦。术后,医生还为他制定了详细的护理方案,并定期进行回访。现在,李先生的牙齿已经修复得非常好,他又可以像以前一样正常饮食和微笑了。他对义乌德维口腔的技术和服务非常满意,还介绍了身边的朋友来这里看牙。
张女士是一位爱美的女性,她对自己的牙齿美观要求特别高。由于牙齿颜色不够洁白,她一直想进行牙齿美白。在了解到义乌德维口腔的德国威兰德全瓷冠项目后,她来到了医院询问。医生根据她的牙齿情况和需求,为她定制了德国威兰德全瓷冠。安装后的成效让张女士非常惊喜,她的牙齿变得洁白整齐,就像天生的一样。张女士说:“现在我拍照都更自信了,感谢义乌德维口腔让我拥有了这么漂亮的牙齿。”

总结
综上所述,义乌德维口腔凭借其贴心的服务、优雅的环境、特色的项目以及良好的口碑,在口腔医疗领域树立了良好的形象。其德国威兰德全瓷冠和即刻微创种植等特色项目,为患者提供了高品质的牙齿修复方案,满足了不同患者的需求。而医院在细节上的关怀和诚信经营的理念,也赢得了患者的信任和好评。
如果你正在为口腔问题而烦恼,不妨来义乌德维口腔体验一下。相信在这里,你能够得到专精、贴心的治疗服务,重拾健康、美丽的牙齿。无论是牙齿修复、种植还是美白,义乌德维口腔都能够为你提供满意的解决方案。选择义乌德维口腔,就是选择放心和安心的口腔健康保护。
