
在郑州,牙齿健康问题有了一个可靠的解决之地——郑州唯美口腔经三路总院。这所医院凭借其多方面的优势,成为众多市民看牙的优选。接下来,让我们详细了解一下这所医院的具体情况。

医院地址与营业时间
郑州唯美口腔经三路总院位于郑州金水区经三路东风路交叉口北200米路东,就在皇宫大酒店斜对面。这个位置十分优越,周边交通便利,无论是自驾还是乘坐公共交通工具都特别方便。其营业时间是周一至周日的8:30 - 18:00,这样的时间安排充分考虑到了不同人群的需求,即使是工作日忙碌的上班族,也可以在周末或者下班后的时间前往就诊,不会因为时间冲突而耽误看牙。

来院路线
对于不熟悉路线的朋友来说,乘坐地铁2号线在东风路D口出,然后步行1千米左右就可以到达医院。地铁作为一种便捷、快速且准点的交通方式,为患者提供了较大的便利。而且步行的距离也不算太远,在行走的过程中还能欣赏周边的风景,放松心情。如果是自驾前往,周边也有较为充足的停车位,不用担心停车难的问题。

医院概况
唯美口腔是一家连锁牙科,在郑州拥有七家院区,而经三路总院就是其中之一。这种连锁的模式不仅体现了医院的规模和实力,也为患者提供了更多的选择。各个院区都开设有牙齿种植、牙齿矫正、牙齿美白、牙齿修复等口腔项目,几乎涵盖了所有常见的口腔问题。无论你是牙齿缺失需要种植,还是牙齿不整齐想要矫正,亦或是希望让牙齿变得更加洁白美观,在这里都能找到合适的解决方案。
更值得一提的是,这是一家正规靠谱的牙科。各个院区都经过了正规机构的审核,在环境、设备、消毒、医生等方面都符合医疗条件。这意味着患者在这里看牙可以更加放心,不用担心医疗质量和安心问题。医院的每一个环节都严格按照规范进行操作,从患者进入医院的那一刻起,就能感受到专精和严谨的氛围。

医院优势

设备精良
精良的设备是保护医疗质量的重要基础。郑州唯美口腔经三路总院每个院区都引进了口腔CBCT、德国西诺德瓷睿刻椅旁设备、美国iTero口扫仪等精良设备。口腔CBCT能够提供详细的口腔三维图像,帮助医生更正确地了解患者的牙齿和颌骨情况,为后续的治疗方案制定提供可靠的依据。德国西诺德瓷睿刻椅旁设备可以实现快速、精细的牙齿修复,大大缩短了患者的治疗时间。美国iTero口扫仪则可以快速获取患者口腔的数字化模型,避免了传统取模方式的不适,同时也提高了模型的正确性。这些精良设备的应用,使得医院在解决牙齿问题方面更加效率高、精细。

医生经验多
医院拥有杨银峰、尹艳波、朱雅丽等经验多的医生坐诊。这些医生在口腔领域有着多年的临床经验,能够熟练把控各种牙齿情况。他们会根据患者口腔的不同情况,制定出更适合的治疗方案。比如在牙齿种植方面,医生会根据患者的牙槽骨条件、身体状况等因素,选择合适的种植体和种植方式;在牙齿矫正方面,会根据患者的牙齿畸形程度和个人需求,选择合适的矫正方法,如传统金属矫正、隐形矫正等。医生们的专精和负责,让患者在治疗过程中更加安心。

技术较好
院内拥有微创种植、美学矫正、牙齿修复等精良技术。以数字化种植为例,这种技术可以提前确定种植的位置、角度和深度,大大减少了种植的时间和收费。在手术过程中,医生可以根据数字化模型进行精细操作,提高种植的成功几率,同时也减少了患者的痛苦。美学矫正技术则注重牙齿的美观和功能的结合,在矫正牙齿的同时,让患者拥有更加自信的笑容。牙齿修复技术也在不断更新和完善,能够为患者提供更加美观、耐用的修复成效。

环境舒适
医院的环境对于患者的就医体验有着重要的影响。郑州唯美口腔经三路总院有独立的诊室、消毒室等,为患者提供了一个舒适、私密的看牙环境。独立的诊室可以保护患者的隐私,让患者在治疗过程中更加放松。消毒室严格按照消毒规范进行操作,确保医疗设备和环境的卫生安心。此外,医院的装修风格温馨舒适,候诊区还提供了舒适的座椅、免费的茶水和杂志等,让患者在等待的过程中不会感到无聊和焦虑。整个看牙过程比较舒适,让患者不再对看牙产生恐惧心理。

实例分享
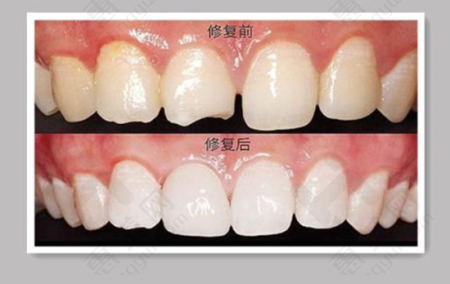
为了让大家更好地了解医院的治疗成效,下面分享一个真实的实例。李先生是一位牙齿缺失多年的患者,之前因为担心种植手术的风险和成效,一直没有进行治疗。后来在朋友的推荐下,他来到了郑州唯美口腔经三路总院。医生在详细了解了他的情况后,为他制定了数字化种植方案。在手术过程中,由于采用了精良的设备和技术,手术进行得非常顺利,李先生几乎没有感觉到太多的痛苦。术后,李先生的牙齿修复得良好,不仅能够正常咀嚼食物,而且外观上也非常自然。李先生对治疗成效非常满意,他说:“没想到在这里能有这么好的治疗体验,早知道就早点来了。”

项目价格
在项目价格方面,郑州唯美口腔经三路总院一直秉持着合理、透明的原则。不同的口腔项目价格会根据具体的治疗方案和使用的材料有所不同。例如,牙齿种植的价格会受到种植体品牌、种植难度等因素的影响;牙齿矫正的价格则会根据矫正方式的不同而有所差异。医院会在治疗前向患者详细说明各项费用,让患者清楚了解自己的消费情况。而且医院还会不定期推出一些优惠活动,为患者减轻经济负担。

文章总结
综上所述,郑州唯美口腔经三路总院在地址、营业时间、来院路线、医院概况、医院优势、项目价格等方面都有着明显的优势。其优越的地理位置和合理的营业时间为患者提供了便利;精良的设备、经验多的医生和精良的技术保护了医疗质量;舒适的环境和合理的价格让患者有了更好的就医体验。无论是牙齿种植、牙齿矫正还是其他口腔问题,在这里都能得到专精、有效的治疗。如果你正在为牙齿问题而烦恼,不妨来郑州唯美口腔经三路总院看看,相信这里会给你一个满意的答案。
